Esthétique
dentaire
Dr Jeremy Bouganim — Paris 6e
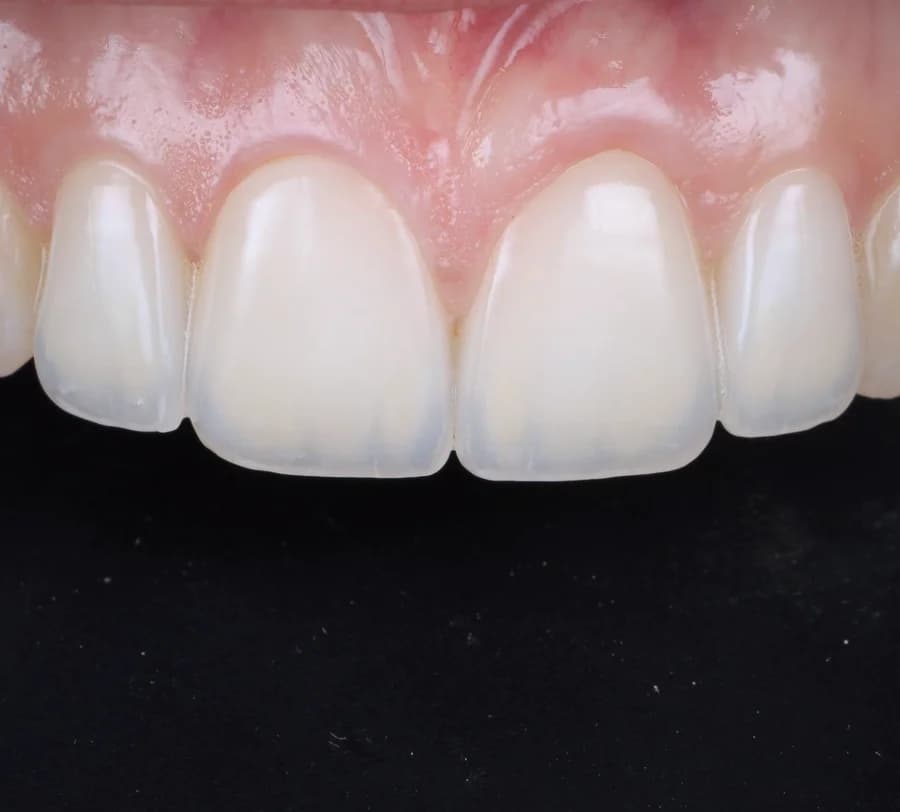
L'esthétique dentaire analyse l'harmonie entre les dents, les gencives, les lèvres et le visage. Critères objectifs — proportions, symétrie, teinte, biologie — intégrés dans un projet fonctionnel global.
Introduction
Les critères d'un beau sourire
L'harmonie
Les lignes du sourire
- Ligne des bords incisifs
Courbe du bord libre des incisives par rapport à la lèvre inférieure.
- Ligne des lèvres
Exposition dentaire et gingivale au sourire, au repos et en fonction.
- Axes de symétrie
Ligne médiane, plan d'occlusion, axe bipupillaire.
Le blanc
Les dents
- Forme
Proportions, caractère, rapport largeur/hauteur.
- Position
Axes dentaires, alignement, régularité de l'arcade. Orthodontie
- État de surface
Texture, micro-reliefs, comportement de la lumière sur l'émail.
Le rose
La gencive
- Qualité tissulaire
Couleur, fermeté, absence d'inflammation.
- Alignement des collets
Régularité de la ligne gingivale, symétrie des hauteurs.
- Rapport rose / blanc
Équilibre entre hauteur de gencive visible et couronne dentaire.
L'analyse de ces trois dimensions constitue la base de tout projet esthétique.
Notre approche
Une approche innovante de l'esthétique dentaire
Diagnostic numérique, planification 3D et fabrication prothétique de précision — un protocole reproductible et prédictible.

Smile design et conception esthétique
Photographies standardisées, analyse biométrique du sourire, modélisation numérique des restaurations avant toute intervention.

Prothèse et laboratoire
Collaboration directe avec des céramistes spécialisés. Chaque pièce prothétique est fabriquée sur mesure — teinte, forme, adaptation marginale.

Intégration biologique
Respect de l’occlusion, du parodonte et des tissus dentaires résiduels. La pérennité du résultat dépend de l’intégration biologique.
Point de départ
La planification numérique du sourire
Chaque projet esthétique est d'abord conçu numériquement, puis validé en bouche par un mock-up avant toute préparation dentaire. Le résultat clinique reproduit le projet validé.
Analyse biométrique
Photographies standardisées, analyse numérique des proportions faciales, de la ligne du sourire, de la symétrie et du rapport dents/gencives/lèvres.
En détail
Mesure objective des paramètres esthétiques via Smile Cloud Biometrics : position des dents, niveau gingival, lignes médianes, proportions. Ces données constituent la base du projet prothétique.
Simulation préalable
mock-up en bouche
Projet sur mesure
analyse biométrique
Résultat prédictible
fil conducteur numérique
Transformer sans détruire
La dentisterie adhésive
Principe de préservation tissulaire maximale : le collage permet de restaurer la dent en ne retirant que le strict minimum d'émail, voire aucun.
Les facettes
Fines lamelles collées sur la face vestibulaire des dents. Elles corrigent la couleur, la forme, l'alignement apparent et les diastèmes, avec une préparation minimale de l'émail.
Composites injectées
Résine injectée dans un moule. Résultat immédiat, réversible.
- –1 séance
- –Réversible
- –3 à 5 ans
Facettes composites
Sculpture directe en résine sur la dent. Résultat naturel, réparable.
- –2 séances
- –Réparable
- –5 à 8 ans
Facettes céramiques
Porcelaine fabriquée en laboratoire. Translucidité et durabilité maximales.
- +2 séances
- +Teinte irréprochable
- +15 à 20 ans
Indications
Les couronnes céramiques
Indiquée lorsque la dent est trop délabrée pour une facette — fracture importante, reprise prothétique, grande perte de substance. La couronne enveloppe la totalité de la dent et reconstitue sa morphologie d'origine.
Emax monolithique maquillée
Disilicate de lithium monobloc. Teinte obtenue par maquillage de surface. Bonne résistance mécanique, respect fidèle de la forme issue du projet numérique.
Céramique stratifiée
Couches de porcelaine posées manuellement par le céramiste. Translucidité, profondeur de teinte et gradient de couleur reproduisant la dent naturelle.
Indications
Traitement de première intention
Le blanchiment dentaire
Éclaircissement de la teinte intrinsèque des dents par application de peroxyde d'hydrogène ou de carbamide. Acte non invasif, sans altération de la structure dentaire.
À domicile
Progressive & douce
Gouttières thermoformées sur mesure, gel de peroxyde de carbamide 10–16 %, port quotidien 1 à 2 heures pendant 2 à 3 semaines.
Protocole combiné
Résultat optimal
Séance au fauteuil (peroxyde d’hydrogène haute concentration) suivie d’un protocole ambulatoire. Éclaircissement plus rapide et plus prononcé.
Contre-indications et limites
Le blanchiment n'agit pas sur les restaurations existantes (couronnes, bridges, facettes). Le protocole est défini après examen clinique. Maintien du résultat : séances de rappel ambulatoires ponctuelles.
Questions fréquentes
Vos questions sur l'esthétique dentaire
Est-ce que les traitements esthétiques sont douloureux ?+
La plupart des actes esthétiques (blanchiment, facettes composites) se réalisent sans anesthésie ou sous anesthésie locale légère. Des hypersensibilités transitoires peuvent survenir après un blanchiment — elles disparaissent en 24 à 48 h.
Combien de temps durent les résultats d'un blanchiment ?+
1 à 4 ans selon l’exposition aux colorants (café, thé, tabac, vin rouge). Des séances de rappel ambulatoires avec les gouttières permettent de maintenir le résultat sans reprendre le protocole complet.
Quelle différence entre une facette composite et une facette céramique ?+
Composite : réalisation directe en bouche, 1 séance, réversible, réparable, longévité 5 à 8 ans. Céramique : fabrication en laboratoire, 2 séances, translucidité naturelle, longévité 15 à 20 ans. Le choix dépend de la situation clinique et du cahier des charges esthétique.
Peut-on combiner plusieurs traitements esthétiques ?+
Oui. Exemple courant : blanchiment préalable pour définir la teinte de référence, puis facettes pour corriger la forme. La planification numérique intègre l’ensemble des étapes dès le départ.
Est-ce que l'esthétique dentaire est prise en charge ?+
Blanchiment et facettes : non remboursés par la Sécurité sociale. Couronnes céramiques sur dents reconstituées : remboursement partiel possible dans le cadre du 100 % Santé, selon le secteur et le matériau. Un devis détaillé est établi lors de la consultation.
En savoir plus sur l'esthétique dentaire — nos articles qui en parlent
Consultation esthétique
Analyse du sourire, discussion du projet et remise d'un plan de traitement détaillé. Sans engagement.
Prendre rendez-vous